HÚT MỘT BAO THUỐC MỖI NGÀY VÀ BỎ TRỊ LAO PHỔI: CÁI GIÁ ĐẮT CỦA SỰ CHỦ QUAN
Bệnh nhân H.K.C (73 tuổi, Hà Nội) được đưa vào Khoa Cấp cứu, Bệnh viện Bệnh Nhiệt đới Trung ương trong tình trạng suy hô hấp nặng, thể trạng suy kiệt kéo dài.
Theo khai thác từ người nhà, bệnh nhân có tiền sử hút thuốc lá nhiều năm, trung bình khoảng một bao mỗi ngày, đồng thời sử dụng rượu bia thường xuyên từ khi còn trẻ. Hơn một năm trước, người bệnh từng được chẩn đoán mắc bệnh phổi mạn tính và lao phổi tại cơ sở y tế, đã được chỉ định điều trị nhưng chỉ uống thuốc trong thời gian ngắn rồi tự ý bỏ dở, không tuân thủ phác đồ và không tái khám theo hẹn.
Khoảng bốn ngày trước khi nhập viện, bệnh nhân xuất hiện mệt mỏi nhiều, ăn uống kém, sau đó khó thở tăng dần, kèm theo ho nhiều. ThS.BS Trương Tư Thế Bảo cho biết, khi vào viện, chỉ số SpO₂ của bệnh nhân chỉ khoảng 85% khi thở khí phòng. Người bệnh thở nhanh, thở gắng sức, co kéo cơ hô hấp rõ, toàn trạng suy kiệt, da niêm mạc nhợt. Các xét nghiệm ban đầu ghi nhận rối loạn toan chuyển hóa, lactate tăng cao, gợi ý tình trạng suy tuần hoàn và theo dõi sốc nhiễm trùng. Bệnh nhân nhanh chóng được đặt nội khí quản và thở máy.

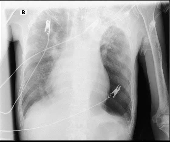
Kết quả chẩn đoán hình ảnh cho thấy tổn thương phổi hai bên rất nặng, kèm theo tràn dịch màng phổi bên phải và tràn khí màng phổi bên trái. Xét nghiệm đờm phát hiện trực khuẩn kháng cồn – kháng toan, gợi ý lao phổi đang hoạt động trên nền phổi đã bị phá hủy kéo dài. Theo ThS.BS Trương Tư Thế Bảo, đây là hậu quả điển hình của lao phổi không được điều trị triệt để, kết hợp với việc hút thuốc lá và lạm dụng rượu bia trong nhiều năm, khiến cấu trúc phổi bị tổn thương lan tỏa, khả năng trao đổi khí suy giảm nghiêm trọng và rất khó hồi phục.

Hiện bệnh nhân đang được duy trì thở máy và hồi sức tích cực. Tình trạng tạm thời ổn định nhưng tiên lượng còn rất dè dặt do tổn thương phổi hai bên nặng nề, nền thể trạng suy kiệt và bệnh lao kéo dài không được kiểm soát. “Lao phổi là bệnh hoàn toàn có thể điều trị khỏi nếu người bệnh tuân thủ đúng phác đồ. Việc bỏ thuốc giữa chừng không chỉ khiến bệnh nặng lên mà còn làm tăng nguy cơ kháng thuốc, gây tổn thương phổi không hồi phục và đe dọa trực tiếp tính mạng,” ThS.BS Trương Tư Thế Bảo nhấn mạnh.
Các bác sĩ cảnh báo, với những người nghiện thuốc lá, đặc biệt là người cao tuổi hoặc đang mắc các bệnh phổi mạn tính, việc tiếp tục hút thuốc sẽ làm suy giảm miễn dịch, phá hủy cấu trúc phổi, giảm hiệu quả điều trị và khiến các bệnh lý hô hấp như lao phổi tiến triển nhanh, nặng và khó kiểm soát hơn. Cai thuốc lá không chỉ là khuyến cáo mà là yêu cầu bắt buộc trong quá trình điều trị các bệnh phổi.

Từ ca bệnh này, các bác sĩ khuyến cáo người dân tuyệt đối không chủ quan với lao phổi. Đây là bệnh cần được điều trị đầy đủ, đúng thời gian và theo dõi chặt chẽ. Khi có các dấu hiệu như ho kéo dài, khó thở, mệt mỏi, sụt cân, người dân cần đi khám sớm và tuân thủ điều trị đúng chuyên khoa để tránh những hậu quả nặng nề, không thể đảo ngược.